Los mejores servicios de especialidades odontológicas
Cada sonrisa tiene su propia historia. Nuestros casos clínicos son el reflejo de la experiencia, la dedicación, la precisión y la pasión que ponemos en cada tratamiento. Desde salvar una pieza dental hasta transformar completamente la estética de una sonrisa, cada caso es una prueba de nuestro compromiso con tu salud y bienestar dental.
Aquí podrás explorar algunos casos representativos de diferentes tratamientos, donde los resultados hablan por sí solos.
Ortodoncia: Alineando tu sonrisa
La ortodoncia va mucho más allá de tener unos dientes rectos. Además de corregir la mordida, ayuda a mejorar la higiene y, en última instancia, te da la confianza para sonreír sin reservas.
- Ortodoncia estética: Descubre cómo tratamientos invisibles como los alineadores transparentes o los brackets de zafiro nos permiten conseguir resultados espectaculares de forma discreta, adaptándose a tu estilo de vida.
- Ortodoncia en casos complejos: Observa cómo solucionamos problemas de apiñamiento severo, espacios entre dientes o maloclusiones complejas, logrando armonía y función en la sonrisa.
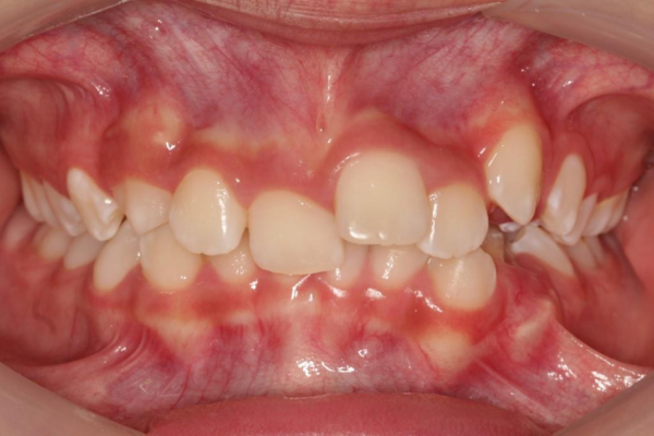
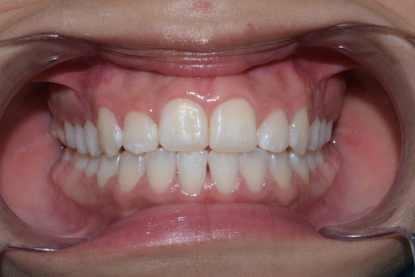
Caso de apiñamiento y sobremordida
Paciente pediátrico, masculino de 9 años de edad, acude acompañado de sus padres debido a la mala alineación de los dientes, y encías inflamadas (gingivitis). Buscan mejorar tanto la estética como la salud bucal desde una etapa temprana.
Se indicó un enfoque de ortodoncia interceptiva: aparatos para crear espacio en la arcaa, guía de erupción de dientes permanentes, corrección temprana de la mordida, y programa de higiene para controlar la gingivitis.
MENSAJE PARA PADRES: La primera valoración ortodóncica se recomienda alrededor de los 7 años de edad. Detectar problemas a tiempo permite tratamientos más sencillos, rápidos y menos invasivos.

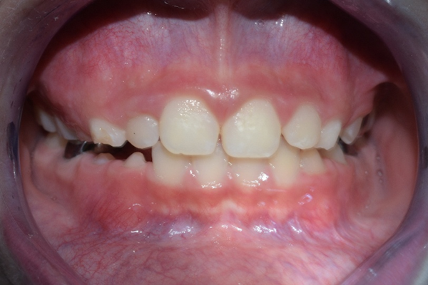
El paciente en su consulta de diagnóstico
Durante la valoración clínica se identificaron los siguientes hallazgos:
- Apiñamiento dental moderado en ambas arcadas
- Falta espacio para la erupción correcta de caninos superiores
- Sobremordida aumentada
- Encías inflamadas con enrojecimiento generalizado (gingivitis)
- Dentición mixta (presencia de dientes temporales y permanentes)

El paciente feliz, al finalizar su tratamiento
Cuando no se corrige a tiempo, este tipo de problema puede provocar:
- Mayor grado de apiñamiento en la adolescencia
- Tratamientos más largos y complejos
- Problemas en la mordida y función
- Riesgo aumentado de caries y enfermedad periodontal
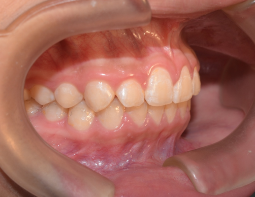
Caso de corrección de apiñamiento con ortodoncia fija
Paciente femenino de 13 años de edad, acude a consulta por dientes desalineados en la zona frontal, buscando mejorar la estética de su sonrisa y facilitar la higiene dental.
Se colocó ortodoncia fija con brackets metálicos, iniciando la fase de alineación y nivelación. El tratamiento incluye arco ortodóncico para corrección progresiva, ligadura metálica para control de movimientos dentales, y ajustes periódicos para guiar la posición dental.

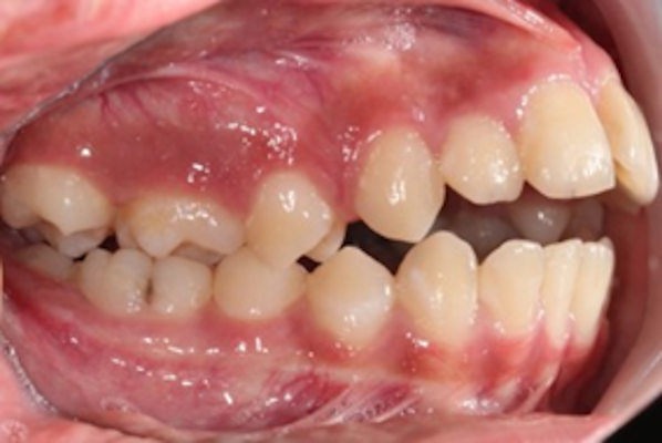
La paciente en fase inicial de tratamiento
En la evaluación clínica se observaron:
- Apiñamiento anterior superior
- Rotaciones dentales en incisivos laterales
- Desalineación en el sector estético (zona visible al sonreír)
- Relación oclusal susceptible de mejora

La paciente, muy contenta con el resultado final
La ortodoncia no solo mejora la apariencia, también:
- Corrige la mordida, mejorando la masticación
- Previene desgaste irregular
- Mejora la salud periodontal y reduce el riesgo de caries
- Aumenta la confianza al sonreír
Caso clínico 3
Paciente X de A años de edad

La paciente en su consulta de diagnóstico

La paciente, muy contenta con el resultado final
Caso clínico 4
Paciente X de A años de edad

La paciente en su consulta de diagnóstico

La paciente, muy contenta con el resultado final
Caso clínico 5 con ortopedia maxilar
Paciente X de A años de edad, llevado con ortopedia maxilar

La paciente en su consulta de diagnóstico

La paciente, muy contenta con el resultado final
Caso clínico 6
Paciente X de A años de edad, llevado con ortopedia maxilar

La paciente en su consulta de diagnóstico

La paciente, muy contenta con el resultado final
Endodoncia y retratamiento: Salvando tus dientes
Cuando el nervio dental se infecta, la endodoncia es la salvación de la pieza dental. Nuestros especialistas en endodoncia están altamente capacitados para realizar este tratamiento con la máxima precisión, aliviando el dolor y preservando tu diente natural.
¿Ya te han hecho un tratamiento de conducto y el problema persiste? No todo está perdido. El retratamiento de conducto es un procedimiento avanzado que nos permite corregir una endodoncia mal realizada, eliminando la infección residual y devolviendo la salud al diente.
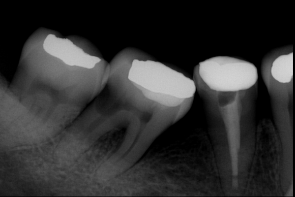
Paciente con infección de pulpa dental con dolor severo
Paciente masculino de 43 años de edad, con dolor severo y riesgo de pérdida de la pieza.

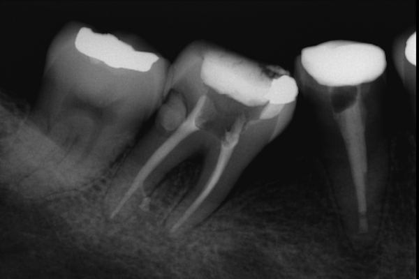
El paciente en su consulta de diagnóstico

El paciente feliz, al finalizar su tratamiento
Endo paciente 4
Paciente X de 32 años de edad, llega con fuerte dolor e infección dental

El paciente en su consulta de diagnóstico

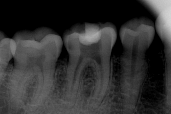
Endodoncia terminada
Buen pronóstico a la conservación de la pieza dental
Endodoncia por caries en la raíz de la pieza dental
Paciente X de B años de edad, llega con amplia caries en la zona de a raíz. Se realiza endodoncia para salvarlo de una extracción. Al final se rehabilitó su pieza dental con una incrustación.

El paciente en su consulta de diagnóstico

El paciente feliz, al finalizar su tratamiento
Teléfono
55 3989 4950
Dirección
Av. El Molinito No. 8, Naucalpan, Estado de México, C. P. 53530
Horario
Lunes a sábado
9:00 a.m. a 7:00 p.m.